Возбудители:
- S.pneumoniae
- Haemophilus influenza
- Moraxella catarrhalis
- Pseudomonas aeruginosa
- Mycobacterium avium complex (MAC)
- Другие микобактерии
- Aspergillus fumigatus
Подробности о возбудителях
- A.fumigatus может привести к развитию аллергического бронхолегочного аспергиллеза у больных с бронхиальной астмой и муковисцидозом. Также он может колонизировать дыхательные пути у пациентов с хроническими легочными заболеваниями.
- Кроме того, культуры МАС также могут быть как колонизаторами, так и истинными возбудителями.
Клиника
- Определение заболевания: патологическая, необратимая дилатация одного или более проксимального, среднего по размеру бронха, с соответствующей деструкцией бронхиальных стенок.
- Причинами могут служить последствия инфекционных заболеваний легких (особенно нелеченой бактериальной пневмонии, туберкулеза, эндемичных грибковых поражений) или паразитарных заболеваний; например, муковисцидоз, другие структурные заболевания легких, иммунные заболевания.
- Исследования с привлечением 150 взрослых пациентов в Великобритании показали следующие зависимости – бронхоэктазы развивались в результате следующих причин:
§ 52% идиопатических,
§ 29% постинфекционных,
§ 8% иммунодефицитно-зависимых,
§ 7% аллергического бронхолегочного аспергиллеза,
§ 4% аспираций,
§ 3% синдрома Юнга,
§ 3% муковисцидоза,
§ 3% ревматического артрита,
§ 1,5% цилиарных дисфункций
§ < 1% смешанных причин
- Симптоматика: хронический кашель, гнойная мокрота, кровохаркание, лихорадка, потеря веса.
- При физикальном исследовании: зловонный запах изо рта, «барабанные палочки», свистящие сухие хрипы.
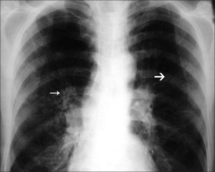
- Rg грудной клетки: симптом «трамвайных рельсов» (см. рис.1), симптом зубной пасты (дают тени от не откашлянной мокроты и исчезают, когда мокрота откашливается), наличие полостей (в 84% случаев Rg может быть нормальной у пациентов с бронхоэктазами, определимыми на КТ)
Рис 1. (симптом трамвайных рельсов по толстой стрелке, симптом «зубной пасты» по тонкой стрелке)

- КТ высокого разрешения: является «золотым стандартом» в структуре диагностики бронхоэктатической болезни. Дилатация бронхов >1,5 раз в ширину как рядом расположенный сосуд, бронхиальная стенка истончена, отсутствие нормальных сужений, наличие кист (см. рис. 2).
Рис.2

- Диагностика обострения (четыре признака из перечисленных): изменение характера мокроты, усиление одышки, усиление кашля, лихорадка, усиление хрипов, утомляемости, снижение ФВД, новые инфильтраты, изменения в легких при исследовании.
- Причины возникновения бронхоэктазов сейчас, в высокоиммунизированных сообществах, должны продолжать изучаться, так как они стали возникать чаще, чем раньше, когда основной причиной были постинфекционные осложнения.
- Определенные трудности вызывает диф. диагностика бронхоэктазов и хронического бронхита.
- Эпидемиология процесса зависит от популяции. До периода распространения иммунизации и лечения антибиотиками большинство случаев носило постинфекционный характер. Сейчас большинство случаев возникают при развитии аномалий, иммунодефицитных состояний, осложнений ингаляции токсическими веществами, ревматических заболеваний и т.п.
- В классификации используются следующие термины: цилиндрические, мешкообразные или кистозные бронхоэктазы, не имеющие клинического или терапевтического употребления.
Лечение:
Амбулаторное (при обострении)
- Некоторые специалисты предлагают ингаляции флутиказона 500 мг дважды в день одновременно с физиотерапией и лечебной физкультурой, прежде чем рассматривать длительное применение антибиотиков с хорошим проникновением в легочную ткань (например, макролидов, таких как кларитромицин).
- Следует отдавать предпочтение пероральным фторхинолонам, но обязательно с учетом микрофлоры и ее чувствительности к антибиотикам.
- Ципрофлоксацин 750 мг РО дважды в день или левофлоксацин 500-750 мг РО каждые 24 часа.
- Моксифлоксацин 400 мг РО каждые 24 часа, если есть данные за отсутствие P.aeruginosa.
- Практически все специалисты рекомендуют в период обострения назначать антимикробные препараты не менее чем на 10-14 дней. Иногда требуется до 3-6 недель приема для лечения рецидива.
- Лечение бактериального обострения бронхоэктазов может часто давать прекрасные результаты у пациентов с позитивным МАС. Бактериальные культуры мокроты могут помочь в выборе терапии.
- Опыт лечения пациентов с муковисцидозом может быть сложным из-за высокой степени резистентности у микроорганизмов.
Лечение в условиях стационара
- Рекомендации для пациентов, требующих госпитализации, или пациентов при неудаче пероральной (РО) терапии.
- В/в антипсевдомонадные бета-лактамы. Для выбора терапии использовать данные по микробиологии и чувствительности культур мокроты.
- Пиперациллин 3,0-4,0 г в/в каждые 4-6 часов.
- Тикарциллин 3.0 г в/в каждые 4-6 часов.
- Цефепим 1-2 г в/в каждые 8 часов.
- Цефтазидим 1-2 г в/в каждые 8-12 часов.
- Все антибактериальные препараты вводить не менее 10-14 дней. В некоторых случаях до 3-12 недель.
Патогенетическое лечение:
- P.aeruginosa: ципрофлоксацин РО или в/в, антипсевдомонадные пенициллины в/в (пиперациллин, тикарциллин), цефалоспорины 3-4-го поколения в/в (цефтазидим, цефепим), тобрамицин (300 мг ингаляционно дважды в день 28 дней).
- H. influenza: амоксициллина клавуланат, второе или третье поколение цефалоспоринов, триметоприм-сульфаметоксазол, фторхинолоны.
- M.catarrhalis: амоксициллина клавуланат, второе или третье поколение цефалоспоринов, триметоприм-сульфаметоксазол, фторхинолоны.
- МАС: кларитромицин 500 мг РО дважды в день, этамбутол 15-25 мг/кг/сут РО 1 р/д, рифампин 600 мг РО 1 раз в день (рифабутин 300 мг РО 1 раз в день) х 12-18 месяцев.
- Аллергический бронхолегочный аспергиллез: кортикостероиды + итраконазол.
Профилактика обострений
- Пролонгированное применение антибиотиков: по крайней мере 4-х недельный курс.
- Антибиотики в виде аэрозоля: наиболее часто используемая альтернатива.
- Пульс-терапия в/в антибиотиков: например, 2-3 недели парентеральной антибиотикотерапии с перерывом на 4-8 недель без антибиотиков.
- Мета-анализ пролонгированной РО антибиотикотерапии показал преимущество в плане сокращения продукции мокроты и гноя, но не влияет на функцию легких, смертность или частоту обострений.
- Ингаляции антибиотиков: общая схема – гентамицин 40 мг дважды в день или тобрамицин 300 мг дважды в день х 4 недели. Либо альтернативная схема: цефтазидим 1 г в день ингаляционно или тобрамицин 100 мг х 2 р/день в течение 1 года.
Не антимикробная терапия:
- Муколитики: исследования носили смешанный характер и требуют дальнейшего изучения. Пероральный бромгексин 30 мг х 3 раза в день, ингаляционный маннитол 300-400 мг ежедневно.
- Противовоспалительные средства: могут быть более эффективны, чем при астме, н-р, флутиказон 500 мг дважды в день. Исследования показали, что происходит уменьшение продукции мокроты, но не улучшает функцию легких или число обострений. Ингибиторы лейкотриенов не имеют исследований на достаточных популяциях пациентов.
- Бронходилататоры: исследований хорошего качества до сих пор не существует, но можно использовать для симптоматической терапии.
- Респираторная терапия: часто используется физиотерапия, но на основе имеющихся исследований, нет данных о ее положительном воздействии.
- Хирургия: имела большое значение в доантибиотиковую эру. В данный момент применяется либо при хорошей локализации поражений, либо в случае жизнеспасающей операции.
Дополнительная информация:
- Признаки обострения (4 из перечисленных признаков): изменение в мокроте, увеличение одышки, изменение характера кашля, усиление хрипов, утомляемость, ухудшение ФВД, новые инфильтраты, изменение при физикальном исследовании.
- Человеческая рекомбинатная ДНК-аза (Пульмозим) 2,5 мг дважды в день может быть особенно полезно в лечении больных с муковисцидозом.
- Муколитическая терапия: эффективность никогда не была доказана и не рекомендуется к применению.
Литературные источники:
- ten Hacken NH, Wijkstra PJ, Kerstjens HA. Treatment of bronchiectasis in adults. BMJ. 2007 Nov 24; 335(7629):1089-93. https://www.ncbi.nlm.nih.gov/pmc/articles/PMC2094191/pdf/bmj-335-7629-cr-01089.pdf
- Rosen MJ. Chronic cough due to bronchiectasis: ACCP evidence-based clinical practice guidelines. Chest 2006 Jan;129(1 Suppl):122S-31S. (доступно только после оплаты)