
- 1991 г. - Московская Медицинская Академия им. И.М. Сеченова (в настоящее время – Первый МГМУ им. И.М. Сеченова), специальность – лечебное дело (красный диплом)
- 1996 г. – Клиническая ординатура на кафедре клинической фармакологии Московской Медицинской Академии им. И.М. Сеченова (в настоящее время – Первый МГМУ им. И.М. Сеченова) по специальности терапия
- С 1996 г. по настоящее время работа в издательстве ВИДАЛЬ РУС в должности ведущего редактора, затем директора научного отдела.
Парапроктит – гнойное воспаление тканей, окружающих прямую кишку. Выделяют острый (впервые возникший) и хронический парапроктит (развивается как результат самопроизвольного или неправильного вскрытия (лечения) острого парапроктита).
Алкоголизм – это заболевание, возникающее в результате пагубной привычки употреблять спиртное часто и в чрезмерных количествах. Алкоголики становятся зависимы от спиртного.
Термин диатез родители используют обычно для описания кожных покраснений, пятен и других высыпаний на коже ребенка. В профессиональной среде такие изменения на коже называют аллергическим дерматитом (т.е. воспалением кожи аллергического характера), который в детском возрасте встречается достаточно часто.
Аллергия – это острая реакция иммунной системы организма на обычно безобидные вещества. У людей, страдающих от аллергии, может возникать анафилактический шок – тяжелое патологическое состояние, связанное с чрезвычайно острой реакцией организма на аллерген. Симптомы аллергии могут возникать в разных частях организма, наблюдаться от нескольких минут до нескольких дней и быть очень разными по степени тяжести. Только врач может точно установить характер и причину аллергических реакций, дать правильные рекомендации и назначить лечение вашей аллергии.
Многие молодые женщины, страдающие от аллергии, боятся заводить ребенка. Ведь им нужно регулярно принимать противоаллергические препараты, а во время беременности нужно избегать приема лекарств, ведь они могут повредить малышу… Но на самом деле, несмотря на ограничения в приеме антигистаминных препаратов, аллергия – не повод отказываться от радости материнства.
Если будущая мама страдает аллергическими заболеваниями, то, вероятно (хотя и но не обязательно), они будут и у малыша. Впрочем, с проблемой аллергии у новорожденного может столкнуться и женщина, которая никогда не страдала от аллергии. После рождения ребенок контактирует с аллергеном – веществом, на которое его иммунная система реагирует неадекватно, и в результате начинаются аллергические процессы.
При наличии хронического заболевания у вас во время прохождения курса лечения может возникнуть чувство разочарования от того, что симптомы болезни не исчезают полностью. Тогда в голову приходит мысль, правильное ли лечение назначено, так как в поиске оптимально эффективной схемы лечения опытным путем никто не застрахован от ошибок.
Аминокислоты представляют собой структурные химические единицы белков. Важность аминокислот для организма определяется той огромной ролью, которую играют белки во всех процессах жизнедеятельности. Именно аминокислоты являются наиболее ценными элементами питания. Некоторые аминокислоты выполняют роль нейромедиаторов (нейротрансмиттеров) или являются их предшественниками и, следовательно, необходимы для нормальной работы головного мозга. Существует около 28 аминокислот. В организме человека многие из них синтезируются в печени. Однако некоторые из них не могут быть синтезированы в организме, поэтому человек обязательно должен получать их с пищей. Такие аминокислоты называются незаменимыми (гистидин, изолейцин, лейцин, лизин, метионин, фенилаланин, треонин, триптофан и валин).
Анафилактический шок – это тяжелое, угрожающее жизни больного патологическое состояние, развивающееся при контакте организма с некоторыми чужеродными веществами (антигенами).
Нервная анорексия – это расстройство, при котором наблюдается патологическая боязнь потолстеть, добровольный отказ от пищи и сильная потеря в весе. Это расстройство чаще всего бывает у девушек-подростков и молодых женщин, и часто связано с модой на нездоровую худобу и популярностью в обществе образа очень худой, почти истощенной девушки.
Антиоксиданты – группа веществ, которые нарушают процесс образования свободных радикалов в организме и предотвращают их повреждающее действие, что приводит к инфекционным и различным дегенеративным заболеваниям, включая опухоли и заболевания сердечно-сосудистой системы, а также в определенной степени является основой для процессов старения.
Апоплексия яичника (разрыв яичника) – внезапный разрыв (нарушение целостности) ткани яичника, сопровождающийся кровотечением в брюшную полость и болевым синдромом.
Аритмии возникают при различных патологических состояниях, как связанных с заболеваниями сердца (в т.ч. пороки сердца, миокардит), так и обусловленных сопутствующими заболеваниями: болезнями щитовидной железы, анемией.
Артериальная гипертония – самое частое хроническое заболевание у взрослых, связанное с повышением артериального давления. Чем раньше вы выявили артериальную гипертензию и начали за ней наблюдать в динамике, тем меньше риск развития осложнений гипертонической болезни в будущем.
Трудно себе представить, что у детей (дажеу очень маленьких) может быть артрит. В действительности, у каждого 1000-ого ребенка развивается артрит в течение первых лет жизни, который обычно трудно диагностировать. Есть несколько различных видов артрита, которые возникают в детстве.
Атеросклероз – одно из самых актуальных заболеваний ХХ века, одно из четырех наиболее частых заболеваний и причин смерти. Неправильное, нерациональное питание, малоподвижность, стрессовые ситуации – все это приводит к возникновению атеросклероза.
Термин "атипичная пневмония" появился задолго до развития последней пандемии и использовался для обозначения поражения легких, вызванных не обычными возбудителями пневмонии. Пандемия атипичной пневмонии, напугавшая весь мир в 2002-2003 гг, была вызвана вирусным агентом. Более точно отражают своеобразие болезни принятое во всем мире обозначение "тяжелый острый респираторный синдром" (ТОРС) и ее английский синоним "Severe Acute Respiratory Syndrome" (SARS).
Атопический дерматит (еще его называют диффузный нейродермит) это хроническое воспалительное заболевание кожи аллергической природы, главным симптомом которого является сильный зуд. Предрасположенность к диффузному нейродермиту, а также к другим атопическим заболеваниям (бронхиальная астма, поллинозы, аллергический ринит) передается генетически.
Атрофический вагинит – это совокупность трофических нарушений слизистой оболочки влагалища, связанных с дефицитом половых гормонов в периоде менопаузы. Основу лечения составляет заместительная гормональная терапия.
Аутизм – нарушение психического развития, характеризующееся расстройствами речи и моторики, стереотипности деятельности и поведения, приводящими к нарушениям социального взаимодействия. Аутизм может быть результатом дезинтеграции процессов развития головного мозга еще до рождения ребенка. Аутизм сильно влияет на ранее развитие ребенка, а последствия этого влияния, как правило, отражаются на всей жизни человека.
БАД – продукты обычно представляют собой природные биологически активные вещества, чаще всего естественного животного или растительного происхождения, витамины, минеральные вещества.
Базально-клеточный рак кожи – это самая распространенная форма рака кожи. Опухоль чаще всего возникает на открытых участках кожи – таких, как голова, лицо, шея, руки и части туловища, на которые падают солнечные лучи. При своевременном выявлении базально-клеточный рак хорошо поддается лечению и редко метастазирует.
Мы все больше и чаще ездим отдыхать. При выборе поездки можно руководствоваться самыми разными принципами. Кто-то хочет посмотреть европейские столицы и всемирно известные музеи, кто-то – полюбоваться пейзажами в разных трудно доступных местах, кто-то – нырять или погружаться с аквалангом, а кого-то влекут снежные трассы. Несомненно только одно – никто не хочет болеть во время отпуска, получить травму или ухаживать за больным ребенком.
Правильное отношение к родам и уверенность в собственных силах женщине следует воспитывать в себе на протяжении всей беременности. В этом вам очень помогут курсы и тренинги для будущих мам, а также чтение дополнительной литературы.
Бессонница характеризуется не только нехваткой сна, но и неспособностью хорошо высыпаться, и может также включать в себя трудности с засыпанием, недостаточную продолжительность сна или раннее пробуждение с последующей невозможностью снова заснуть.
Блокада сердца представляет собой замедление или полное прекращение прохождения импульсов возбуждения по проводящей системе сердца. Замедление проведения импульса является неполной блокадой, а прекращение его проведения – полной.
По данным статистики смертность от заболеваний сердечно-сосудистой системы в мире все время растет. Изучение причин этих заболеваний показало, что одни из них связаны с инфекцией, другие имеют наследственный или врожденный характер. Однако самая большая группа заболеваний во многом является последствиями вредных привычек и неправильного образа жизни. Такие заболевания до некоторой степени можно предотвратить.
Болезнь Альцгеймера – это неизлечимое дегенеративное заболевание центральной нервной системы, характеризующееся постепенной потерей умственных способностей (память, речь, логическое мышление), риск развития которого повышается после 65 лет.
Болезнь Лайма – инфекционное заболевание, вызываемое спирохетами Borrelia burgdorferi и передающееся клещами. Характеризуется наклонностью к хроническому и рецидивирующему течению и преимущественным поражением кожи, нервной системы, опорно-двигательного аппарата и сердца.
Чувство боли или давления в грудной клетке может быть признаком как небольших проблем, таких как несварение, так и гораздо более серьезных, например приступ стенокардии или инфаркт миокарда. В любом случае следует внимательно относиться к появлению таких болей, особенно связанных с физической нагрузкой или стрессовыми ситуациями.
Боли в животе варьируют от тупых или жгучих до острых и стреляющих и возникают при разных заболеваниях и состояниях. Если у вас возникла острая боль или повышенная чувствительность в правой нижней части живота, боли в животе при ходьбе, тошнота, рвота или потеря аппетита, повышенная температура тела, вам следует немедленно обратиться к врачу.
В большинстве случаев боль в спине не является серьезным нарушением и ее легко можно предотвратить, но иногда она может быть связана с серьезными заболеваниями и травмами позвоночника (т.ч. остеохондрозом), а в некоторых случаях с заболеваниями желудочно-кишечного тракта.
Тяжесть и боль в ногах являются довольно распространенными жалобами, с которыми пациенты, особенно пожилые, обращаются к врачу. Причин для такой симптоматики немало.
Бородавки – это доброкачественные образования на коже или слизистых оболочках. Бородавки, появляющиеся на ступнях, называют подошвенными. Они часто проходят самостоятельно, но иногда могут оставаться на своем месте в течение нескольких лет, или время от времени исчезать и снова появляться.
Бронхиальная астма – это серьезное заболевание, которое препятствует нормальному дыханию, т.к. из-за воспаления, отека и образования мокроты сужаются дыхательные пути, ведущие к легким. Заболевание обычно начинается в раннем возрасте. Около 50% детей при правильном лечении избавляются от астмы к взрослому возрасту. Астма может иметь различную степень тяжести и частоту обострений. Симптомы астмы могут быть различными. Прежде всего следует проконсультироваться с врачом, пройти обследование и получить необходимую терапию и рекомендации.
При бронхите бронхи воспаляются или выделяют слишком много слизи в просвет бронха. Воспаление обычно вызывается вирусами (теми же, которые вызывают острые респираторные заболевания, грипп) или вторичной бактериальной инфекцией (инфекционный бронхит). Однако бронхит также может возникать при вдыхании веществ, раздражающих легкие. При астме или хроническом синусите, а также при постоянном курении пациенты могут часто болеть бронхитом. Бронхит обычно протекает нетяжело и чаще всего не вызывает длительного нарушения трудоспособности.
Бурсит большого пальца стопы – это большая опухоль в области большого пальца ноги. Появление ее свидетельствует о неправильной работе стоп, часто связанной с плоскостопием. Нарушение мышечного баланса также может привести к возникновению шишки и отклонению большого пальца.
БЦЖ – это вакцина против туберкулеза, приготовленная из штамма ослабленной живой туберкулезной палочки, Mycobacterium bovis BCG. Вакцина была разработана французскими учеными Calmette и Guerin в 1919 году. С середины 1950-х годов в большинстве европейских стран вакцинация новорождённых стала обязательной.
Нередко аллергены обнаруживаются непосредственно рядом с нами: это может быть домашняя пыль, плесневые грибки или бытовая химия.
Профилактика гриппа является очень сложной медицинской проблемой в связи с высокой степенью изменчивости вируса гриппа. Для того, чтобы обеспечить эффективный иммунитет против нового штамма вируса, нужно постоянно изменять состав вакцин. Всемирная Организация Здравоохранения (ВОЗ) уже в течение 15 лет прилагает огромные усилия для достижения максимально полного антигенного совпадения прогнозируемых эпидемических штаммов вируса и вакцинных штаммов на каждый конкретный год. Большинство современных вакцин против вируса гриппа являются инактивированными (убитыми) субъединичными или сплит-вакцинами.
При недостаточности венозных клапанов или при снижении тонуса вен сила тяжести оказывается достаточной, чтобы препятствовать нормальному кровотоку. При этом кровь застаивается в венах, приводя к тому, что сами венозные сосуды деформируются. Такие вены называются варикозно расширенными.
Ветряная оспа – это инфекционное заболевание, которое в детском возрасте протекает в достаточно легкой форме; у грудных детей, взрослых, а также людей с ослабленным иммунитетом болезнь может принимать гораздо более тяжелые формы. Ветрянка обычно передается воздушно-капельным путем. После контакта с заболевшим может пройти от 10 до 21 дней, прежде чем появятся симптомы заболевания. Инфекционный период начинается за пару дней до появления характерных высыпаний на коже и длится до тех пор, пока новые нарывы не перестанут появляться, а старые покроются коркой.
Суточная потребность в витамине Е (альфа-токофероле ацетате или просто токофероле) определяется несколькими факторами (в т.ч. полом, массой тела). Мужчинам требуется 10 МЕ в сутки, женщинам 8 МЕ, беременным – 10 МЕ, а кормящим целых 12 МЕ. Рассчитать дозировку витамина Е можно следующим образом: детям до 1 года полагается 0.5 мг витамина на 1 кг массы тела, а взрослым требуется 0.3 мг витамина на кг.
Врожденные пороки сердца – это возникшие внутриутробно (до рождения ребенка) анатомические дефекты сердца, его клапанного аппарата или его сосудов. Врожденные пороки сердца встречаются с частотой 6-8 случаев на каждую тысячу родов, что составляет 30% от всех пороков развития. Они занимают первое место по смертности новорожденных и детей первого года жизни.
Гастрит – это воспаление слизистой оболочки желудка. Различают острый и хронический гастрит. Бактерии Helicobacter pylori, колонизирующие слизистую оболочку желудка, выступают возбудителем наиболее частого из вариантов гастрита – гастрита с повышенной кислотностью желудочного сока.
Генитальный герпес – часто встречающееся заразное заболевание, которое сопровождается болями в области половых органов. Заболевание обычно передается при половом контакте.
Вирус также может передаваться ребенку во время родов, если у матери в это время имеется герпетическая инфекция в активной фазе.
Гепатит В – это системное вирусное заболевание, которое характеризуется поражением печени и различными внепеченочными проявлениями. Гепатит В может протекать в виде острой или хронической инфекции. Острый гепатит В в 85-90% случаев завершается выздоровлением. У 10% заболевших инфекция принимает характер хронической.
Гепатит – это воспаление печени, которое в некоторых случаях вызывается одним из вирусов. Симптомы включают усталость, головная боль, потеря аппетита, тошнота или рвота, повышение температуры до 38.8°С, желтуха (кожа, а также белки глаз становятся желтого оттенка), моча коричневого цвета, бесцветный кал, боль и сдавленность под ребрами справа.
Сахарный диабет связан с нарушением количества или активности инсулина, гормона, который обеспечивает транспорт глюкозы из крови к клеткам организма. Если организм не способен вырабатывать инсулин в достаточном количестве или правильно его использовать, повышается уровень сахара в крови. Сахарный диабет невозможно излечить полностью, однако при условии пожизненного лечения можно сохранять уровень глюкозы в пределах нормы.
Гигантоклеточный артериит или болезнь Хортона – воспалительное заболевание артерий. Средний возраст начала заболевания – 70 лет. 65% больных – женщины.
Дважды в день следует чистить зубы, межзубные промежутки, после чего полоскать ротовую полость с помощью ополаскивателя. В течение дня после каждого приема пищи необходимо прополоскать рот водой или ополаскивателем. Соблюдая эти простые правила, вы сможете сохранить здоровую и красивую улыбку на долгие годы.
Гигрома – это доброкачественное новообразование, представляющее собой капсулу, наполненную серозной жидкостью.
Гингивит – это воспаление десны, сопровождаемое отеком, покраснением и кровоточивостью. Важно то, что гингивит довольно часто является лишь признаком пародонтита (воспаления тканей, окружающих корень зуба, костной ткани альвеолы и десны) или пародонтоза (при этом воспаление выражено слабее, чем деструктивные процессы).
Гинекомастия – это увеличение мужских грудных желез, спровоцированное разрастанием железистой ткани.
Гломерулонефрит – это целая группа разнородных заболеваний, проявляющихся двухсторонним поражение почек с повреждением почечных клубочков. Наиболее часто развивается постстрептококковый гломерулонефрит. Его профилактика заключается в своевременной и грамотной антибактериальной терапии стрептококковой ангины.
Глоссит представляет собой воспалительное заболевание языка, которое сопровождается отеком, покраснением и изменением его структуры.Глоссит представляет собой воспалительное заболевание языка, которое сопровождается отеком, покраснением и изменением его структуры.
Чаще всего головная боль не является признаком серьезных заболеваний, но в некоторых случаях может потребоваться медицинская помощь. Если голова болит сильнее, чем когда-либо раньше, вам срочно необходима помощь врача.
С увеличением количества путешествий в районы, расположенные высоко над уровнем моря и с растущим интересом к активному отдыху и экстремальному спорту у многих людей стали возникать вопросы о степени опасности альпинизма, трэкинга, да и просто пребывания на большой высоте. Горная (или высотная) болезнь действительно является проблемой, которая может повлечь за собой серьёзные и даже фатальные последствия.
Проблемы с кормлением грудью возникают обычно в первые несколько недель после рождения ребенка. Дискомфорт или неприятные ощущения ни в коем случае не следует расценивать как знак к тому, чтобы прекратить грудное вскармливание. Наоборот, кормление следует продолжать ради своего здоровья и здоровья своего ребенка.
Дальнозоркость или, говоря медицинским языком, гиперметропия представляет собой особенность рефракции глаза, при которой изображения далеких предметов в покое аккомодации фокусируются за сетчаткой.

Дерматит – это синдром, представляющий собой воспалительную реакцию кожи на различные раздражители. Различают контактные дерматиты и токсидермии. Контактные дерматиты возникают при непосредственном воздействии раздражителя на кожу, при токсидермиях инородные вещества проникают во внутреннюю среду организма, вызывая ряд изменений, одним из проявлений которых будет дерматит. Встречаются также себорейный дерматит (перхоть, угри, акне, прыщи), атопический дерматит (аллергический), герпетиформный дерматит, экзема.
Колики у детей часто вызывают больше страха и переживаний у родителей, чем у детей. Многие дети, примерно 1 из 10, время от времени страдают от колик, обычно в очень раннем возрасте. Такие дети часто громко плачут, обычно в одно и то же время, например, ранним вечером. Колики – это, скорее, набор симптомов, чем заболевание. Обычно колики возникают у детей через 2-3 недели после рождения и проходят, когда ребенку исполняется 4 месяца
Артериальная гипертензия – это повышение гидростатического давления крови, которое наблюдается в артериях большого круга кровообращения. В норме цифры давления так же могут колебаться. Так, например, оно возрастает при физической нагрузке или эмоциональном возбуждении и снижается во время сна. Но в обычном состоянии оно должно колебаться в пределах от 100/60 до 140/90.
Течение ВИЧ-инфекции характеризуется длительным отсутствием существенных специфичных симптомов болезни. Острая фаза начинается через 3-6 недель после заражения, продолжается в течение 1-2 недель и в силу не специфичности симптомов, как правило, принимается за обычную ОРВИ. В этот период больного может беспокоить лихорадка, увеличение лимфатических узлов, головная боль, боли в суставах. Острую фазу заболевания сменяет длительный бессимптомный период, продолжительностью до 10 лет и более. Клинические признаки вновь появляются только при интенсивном размножении вируса и значимом поражении клеток иммунной системы, при котором происходит переход заболевания в развернутую стадию. Клинические проявления заболевания становятся значимыми лишь на поздних стадиях заболевания. Поэтому в диагностике ВИЧ-инфекции первостепенную роль играют лабораторные методы исследования.
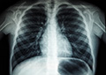
Пневмония – это воспаление легочной ткани инфекционного происхождения. Пневмонию могут вызывать бактерии, вирусы и одноклеточные грибы. В зависимости от возбудителя меняются и симптомы заболевания и рентгенологическая картина и тактика терапии. Пневмония может быть односторонней, если поражено только одно легкое, и двусторонней. Выделяют очаговую, сегментарную, долевую и тотальную пневмонию
Диарея (понос) – это частый жидкий стул, который может быть вызван различными причинами. Диарее часто сопутствуют спазмы в животе, рвота или высокая температура. У взрослых диарея редко бывает опасной. У детей разного возраста и у пожилых людей диарея может вызвать обезвоживание, что может привести к серьезным последствиям.
Многие люди, страдающие артритом, задаются вопросом, поможет ли им специальная диета или следует ли им избегать употребления в пищу определенных продуктов.
Сахарный диабет традиционно считается заболеванием, требующим серьезных ограничений в диете. В продуктовых магазинах выделяют даже отдел с диабетическими продуктами, т.е. продуктами, разрешенными для пациентов с сахарным диабетом. Вокруг диетотерапии сахарного диабета возник целый ряд мифов и ошибочных понятий. Поэтому, если вам или вашим близким поставлен диагноз сахарный диабет, диету следует обсуждать только с вашим лечащим врачом. Рекомендации по питанию зависят от режима вашего лечения, наличия осложнений, сопутствующих заболеваний и многих других параметров. В данной статье мы приведем лишь общие правила диетического питания для больных с сахарным диабетом I типа.
Диетотерапия является ведущей в комплексном лечении хронического гастрита. Наиболее строгая диета назначается в период обострения. По мере улучшения самочувствия больного диета постепенно расширяется.

Допинг – фармакологические средства или запрещенные методы, направленные на улучшение физических сил и выносливости профессиональных спортсменов, приведенные в кодексе Всемирного антидопингового агентства (WADA – независимая организация, созданная при поддержке Международного олимпийского комитета). Применение допинга в современном профессиональном спорте запрещено.
Самый надежный способ уберечь себя от осложнений – это уехать в место с более благоприятной экологической ситуацией. Если у вас есть такая возможность, не сомневайтесь – берите отпуск и отправляйтесь в более чистые районы.
О здоровье женщины чаще всего говорят, когда имеют в виду что это один из важнейших факторов здоровья детей и значит нашего будущего.
После инфаркта миокарда человеку требуется психологическая поддержка и изменение ритма жизни. Именно поэтому такое большое внимание уделяется реабилитации. Она необходима для восстановления жизненных функций и возможностей активности, а так же для снижения риска повторного инфаркта.
Кожа – сам большой орган человеческого тела. Вид кожи, ногтей и волос часто отражает общее состояние организма и составляют важную часть внешности человека. С некоторыми проблемами кожи, волос и ногтей можно справиться самостоятельно в домашних условиях. Во многих случаях может потребоваться помощь врача-дерматолога или аллерголога.

Эти инфекции передаются от человека к человеку при половом контакте. К наиболее распространенным ЗППП можно отнести генитальный герпес, хламидиоз, вирус папилломы человека (ВПЧ), остроконечные кондиломы (генитальные бородавки), мягкий шанкр и сифилис (твердый шанкр), уретриты и вагиниты гонококковой (гонорея) и негонококковой (неспецифические) природы.
Запор – это затрудненная, замедленная или недостаточно частая дефекация (опорожнение кишечника). В некоторых случаях запор может быть признаком более серьезного заболевания.
Изжога – это чувство жжения в области груди, которое может сопровождаться тошнотой, метеоризмом, отрыжкой, горьким или кислым привкусом во рту и в горле. Чаще всего изжога бывает после обильной пищи и в лежачем положении.
Импетиго – это заболевание, характеризующееся образованием поверхностных пузырьково-гнойничковых высыпаний. Заболевание очень заразно. Импетиго чаще всего становится бичом детских коллективов, особенно часто оно возникает в коллективах маленьких, ясельных детей. Импетиго опасно тем, что может давать осложнения со стороны внутренних органов, поэтому любая вспышка этого заболевания тщательно расследуется, а дети пролечиваются.
Способы профилактики пародонтоза и методы его лечения, в том числе по средствам имплантации зубов
Как правило, инородные тела попадают человеку в глаза, уши, нос, дыхательные пути и прямую кишку. Проблемы с попаданием в организм инородных тел возникают как у детей, так и у взрослых. Дети по природе своей любопытны и поэтому могут намеренно класть в рот блестящие предметы, например, монеты или таблеточные батарейки. По этой же причине подобные объекты очень часто попадают им в уши и нос.
Инсулин является основным регулятором углеводного обмена в организме человека. У пациентов с сахарным диабетом имеет место снижение выработки этого гормона или полное ее отсутствие. Единственным способом лечения таких пациентов является введение инсулина извне.
Кислород и питательные вещества к клеткам сердечной мышцы доставляет специальная разветвленная сеть сосудов, которые называются коронарными. При инфаркте миокарда происходит закупорка одного из таких сосудов тромбом (в 95% случаев тромб коронарной артерии образуется в области атеросклеротической бляшки). Через 40 минут начинается процесс необратимых изменений в клетках и к третьему-шестому часу от начала окклюзии мышца сердца на этом участке погибает. Клиническая картина инфаркта миокарда отличается многообразием, что затрудняет постановку правильного диагноза в максимально короткий срок.
Избыточный вес создает для человека множество неудобств. Кроме того, избыточный вес является фактором риска развития многих заболеваний, в числе которых артериальная гипертензия (повышенное давление), высокий уровень холестерина и атеросклероз, диабет, болезни сердца, суставов, желчного пузыря и лёгких, некоторые формы рака (простаты, кишечника, мочевого пузыря, яичников, груди).
Распространенность венозной патологии в мире варьирует в среднем от 25 до 60%. Если пересчитать эти проценты на количество населения, то получаются миллионы человек
Мы часто слышим о необходимости на протяжении всей жизни соблюдать диету, содержащую достаточное количество кальция. Известно, что молочные продукты и другая пища, богатая кальцием, необходимы для развития и поддержания прочности костной системы. Но также необходимо знать, что помимо кальция, для правильного питания костной ткани необходимо достаточное количество второго важного элемента – витамина D.
Почечные камни представляют собой твёрдую, кристаллоподобную массу. Они состоят из солей, входящих в состав нормальной человеческой мочи в небольших количествах. Камни могут отличаться по размеру и форме. Обычно человек не знает о своем заболевании, пока камни не начинают менять своё местоположение и двигаться по мочевыводящим путям. Наиболее вероятно развитие мочекаменной болезни у человека с наследственной предрасположенностью. Обычно первым симптомом заболевания является острая колющая боль в спине (в области больной почки) или в нижней части живота.
Кариес в переводе с латыни означает гниение; и это слово довольно точно описывает состояние зубов при этом заболевании. Кариес – это разрушение зуба, которое начинается с растворения минеральных веществ, входящих в состав зуба,с последующим разрушением твердых тканей зуба и образованием полости.
Катаракта – это помутнение хрусталика – оптической линзы, которая располагается внутри глаза. В большинстве случаев катаракта развивается медленно, как результат старения
Келоидные рубцы – особый вид рубцов, внедряющихся в окружающие нормальные ткани. Они остаются на всю жизнь, нередко создавая заметный косметический и функциональный дефекты. Уродующие шрамы, рубцы, ограничивающие даже небольшие движения, могут вызвать у пациентов серьёзные трудности, как в деловой, так и в личной жизни.
Клещевой энцефалит – это вирусное, природно-очаговое (характерное только для определенных территорий) заболевание с преимущественным поражением центральной нервной системы. Разносчиками инфекции являются иксодовые клещи, вирус передается при укусе больного клеща. Инфекция также поражает и животных – грызунов, домашний скот, обезьян, некоторых птиц.
Вопреки распространенному мнению о том, что только пожилые люди страдают от хронических заболеваний, таких как сахарный диабет, у все большего количества детей по всему миру диагностируется данное заболевание. Разновидность заболевания, которому подвержены дети, называется сахарный диабет 1 типа. Также известное, как «ювенильный диабет», это заболевание ежедневно диагностируется примерно у 40 детей.
Сыпь на коже у детей может быть проявлением более чем ста различных заболеваний. Вам совершенно не обязательно разбираться в этом множестве состояний. Однако некоторые их них могут быть действительно опасны для ребенка. Поэтому при появлении любой сыпи следует вовремя обращаться к педиатру. Не забудьте, что описывать внешний вид кожи по телефону бессмысленно, доктор должен видеть изменения своими глазами.
Коклюш – это опасное инфекционное заболевание дыхательных путей, которое вызывается бактериями Bordаtella pertussis. Его наиболее характерным признаком является приступообразный спазматический кашель. Чаще заболевают дети дошкольного возраста. Особенно опасна эта инфекция в возрасте до 2-х лет. Наиболее частым осложнением является пневмония, обусловленная коклюшной палочкой или вторичной бактериальной инфекцией.Особенно тяжело, со значительной летальностью, коклюш протекает у детей первых месяцев жизни.
Существует несколько видов контрацепции, у каждого из которых есть свои достоинства и недостатки. Все формы контрацепции направлены на одно: предотвратить оплодотворение женской яйцеклетки мужским сперматозоидом.
Конъюнктивит – это воспаление слизистой оболочки глаза (конъюнктивы). Конъюнктивит может развиваться вследствие инфекции, аллергической реакции или раздражения глаз химическими веществами.
Корь – это широко распространенное острое инфекционное заболевание, встречающееся главным образом у детей и характеризующееся повышением температуры, катаральным воспалением слизистых оболочек носа, глаз и горла и появлением на коже пятнистой сыпи. Путь передачи инфекции – воздушно-капельный. Вирус выделяется во внешнюю среду с капельками слюны при разговоре, во время кашля, чихания. Осложнения развиваются чаще у детей в возрасте до пяти лет или у взрослых старше 20 лет. Наиболее распространенными являются воспаление среднего уха (отит), слепота, бронхопневмония, воспаление шейных лимфоузлов, ларингит, энцефалит.
Круп – это синдром (совокупность симптомов), который относится к патологии дыхательной системы детей, возникает обычно поздно ночью и сопровождается хрипотой, особым стридорозным дыханием (пронзительное, свистящее дыхание на вдохе) и лающим (крупозным) кашлем. Круп характерен для детей в возрасте до четырех лет. При возникновении крупа сам ребенок и его родители обычно очень пугаются и начинают впадать в панику. На самом же деле круп редко представляет собой серьезную опасность и почти всегда проходит самостоятельно.
Курение – самая распространенная причина преждевременной смерти и потери работоспособности.
В целом в мире курение убивает более чем 3 млн.человек в год и если такая тенденция сохранится, то к 2020 г. это количество может достичь 10 млн.
С началом летнего сезона перед всеми нами в очередной раз встает вопрос о формировании аптечки для путешествия. В зависимости от планируемой поездки набор лекарств будет, безусловно, отличаться. Если вы отправляетесь на курорт и оформили медицинскую страховку, вам следует взять лишь несколько самых необходимых препаратов. Напротив, планируя сложный туристический поход, необходимо грамотно составить аптечку со всеми средствами первой помощи, заблаговременно изучить инструкции к препаратам и иметь четкий алгоритм действий в случае различных непредвиденных ситуаций. В этой статье мы приведем усредненный набор необходимых лекарственных препаратов с краткими рекомендациями по их использованию.
Основой лечения заболевания является соблюдение жесткой диеты и ведение здорового образа жизни с регулярными физическими нагрузками. При этом назначение специальных лекарственных средств, как правило, требуется большинству больных. В зависимости от тяжести заболевания для лечения используют сахароснижающие препараты или инсулин. Подбор терапии осуществляют под контролем показателей углеводного обмена.
Лекарственное взаимодействие – сложный раздел фармакологии, изучающий механизмы взаимного влияния препаратов друг на друга. В основном это влияние сводится к усилению или ослаблению эффекта одно лекарства другим.

Июль-август – лучшее время для летнего отдыха, и даже те, кто остается на все лето в городе, хотя бы в выходные устремляются на природу.
Аллергические заболевания имеют в своей основе достаточно сложные механизмы. Следует помнить о разделении этой группы на аллергии (которые встречаются у здоровых людей, появляются при контакте или попадании внутрь организма конкретных антигенов, например лекарственных препаратов, «незнакомых» специй, приправ и пр) и атопии (заболевания, в основе которых лежит генетическая предрасположенность к сверхсильным реакциям на различные аллергены; к атопиям относят бронхиальную астму, аллергический ринит, атопический дерматит и пр.). Понятно, что лечение столь разных заболеваний будет значительно отличаться. В целом терапия аллергических заболеваний включает прекращение контакта с аллергеном, гипоаллергенный быт, диету и медикаментозную терапию.
До настоящего времени не разработано лечения ВИЧ-инфекции, которое могло бы полностью устранить вирус из организма. Однако современный тактика терапии способна замедлить прогрессирование инфекции и её переход в стадию СПИД, позволяя ВИЧ-инфицированному человеку на протяжении десятилетий жить полноценной жизнью. Терапия требует тесного сотрудничества пациента и врача, четкого выполнения всех рекомендаций и аккуратного своевременного приема лекарств.
Псориаз относится к числу заболеваний, которые оказывают сильное влияние на социальную адаптацию человека. Именно поэтому лечение псориаза направлено на улучшение не только кожного процесса, но и качества жизни пациента. Следует, однако, понимать, что, поскольку причины возникновения псориаза достоверно не известны, избавиться от псориаза навсегда невозможно, но можно добиться стойкой ремиссии (ослабления или полного исчезновения симптомов болезни).
Подходы к лечению язвенной болезнью значительно менялись на протяжении времени параллельно с тем, как менялись взгляды на ее происхождение. На сегодняшний день можно выделить несколько возможных механизмов ее формирования, хотя в целом патогенез язвенной болезни все еще остается недостаточно изученным.
Лимфогранулематоз или болезнь Ходжкина – это злокачественная опухоль лимфоидной ткани со специфической гистологической структурой. Лимфогранулематоз часто встречается в детском возрасте, а также имеет пики заболеваемости в 20 и 50 лет. Этиология лимфогранулематоза неизвестна.
Малярия представляет собой серьёзное инфекционное заболевание, в основном передающееся человеку комарами вида Anopheles. Кроме того, это заболевание может передаваться от матери к плоду, при переливании заражённой крови и через контакт с кровью инфицированного человека (например, при повторном использовании шприцов наркоманами).
Мастопатия – это дисгормональное заболевание молочных желез, основным симптомом которого является болезненность и наличие объемных образований в толще молочной железы. Мастопатия не является злокачественным заболеванием. Однако зачастую без дополнительного обследования исключить рак молочной железы бывает сложно. Основу профилактики мастопатии составляет ежемесячное тщательное самообследование. Лечением мастопатии занимается врач маммолог или гинеколог.
Менингит – это воспаление мягких оболочек вокруг головного и спинного мозга, которое может быть вызвано бактериями и вирусами. Бактериальный менингит и менингококковая септицемия являются очень серьезными заболеваниями и нуждаются в срочном лечении антибиотиками.
Менопауза – это период, когда прекращается менструация. Средний возраст женщины при менопаузе – 51 год, но это может произойти как и раньше, так и позже, между 40 и 55 годами.
Метеоризм – это избыточное скопление газов в кишечнике, проявляющееся вздутием живота, ощущением дискомфорта в брюшной полости и отрыжкой. Газ выделяют бактерии при ферментации пищи, а воздух может заглатываться во время еды или разговора (обычно он выходит с отрыжкой). Метеоризм не является тяжелым или опасным заболеванием, однако часто становится причиной смущения и дискомфорта.
Основной целью лечения сахарного диабета является поддержание уровня сахара крови как можно более близким к нормальному. Только регулярный и частый самоконтроль сахара крови позволит вам и вашему врачу судить о правильности лечения заболевания. Кроме того, в домашних условиях можно достаточно точно определять уровень кетоновых тел, сахара и белка в моче. Эти показатели также помогут вашему врачу повысить эффективность терапии и не допустить развитие осложнений.
Мигрень – хроническое заболевание нервной системы, которое протекает в виде приступов тяжелой односторонней пульсирующей головной боли с сопутствующими симптомами тошноты, рвоты, непереносимости света и звуков.
Раньше грибковые заболевания стоп были настолько распространены, что лишь немногие могли избежать заражения. К счастью, сейчас доступны эффективные лекарственные препараты. Однако до сих пор микоз стоп остаётся самым распространенным грибковым заболеванием кожи. Наиболее часто поражаются складки кожи между пальцами ног и поверхность стопы (особенно подошвы), однако в редких случаях могут быть вовлечены даже кисти рук.
Миокардит – это воспалительное поражение сердечной мышцы. Миокардит может возникнуть при любом инфекционном заболевании, но в настоящее время миокардит чаще всего наблюдается при вирусных инфекциях.
Грибковые вагинальные инфекции чаще всего вызываются дрожжеподобными грибами рода Candida (Candida albicans), поэтому это заболевание называется кандидозом (молочницей).
Бесплодием врачи называют невозможность пары обзавестись потомством на протяжении одного года без применения методов контрацепции. Причины бесплодных браков разнообразны. Традиционно отсутствие детей в семье связывают с проблемами у женщины. Но это совсем так. Бесплодие в среднем встречается в 10% случаев, при этом по различным статистическим данным на долю мужского бесплодия приходится от 30 до 55% бесплодных браков.
С древних времен мужчина выполнял самую тяжелую работу – воевал с соседними племенами, охотился, строил жилище, защищал семью. Согласно биологическим законам природы мужской организм гораздо более устойчив к внешним воздействиям, чем женский.
Муковисцидоз – это системное наследственное заболевание, при котором поражаются все органы, которые выделяют слизь: бронхолегочная система, поджелудочная железа, печень, потовые железы, слюнные железы, железы кишечника, половые железы. Это одно из наиболее распространенных наследственных заболеваний.
Мукополисахаридоз представляет собой группу редких генетических заболеваний, приводящих к серьезным последствиям и инвалидизации. К проявлениям патологии относят нарушения физического и умственного развития, деформацию костей и суставов.
Все мы не любим болеть. Еще больше мы не любим обращаться к врачам и принимать лекарства. Но все же иногда это делать приходиться.
После перелета на самолете через три или более часовых поясов, вы можете почувствовать дремоту, усталость и подавленность. Это проявления нарушения внутренних часов организма. Организм не может быстро перестроиться на новый ритм, что влечет за собой множество неприятных ощущений и последствий.
Кроме собственно сахарного диабета существует форма скрытого (латентного) диабета, когда клинические проявления сахарного диабета еще отсутствуют, но в силу различных причин содержание сахара в крови неадекватно увеличивается и медленно снижается. Такое состояние называют "нарушением толерантности к глюкозе". Оно опасно не только развитием клиники сахарного диабета в будущем, но и тем, что люди с нарушенной толерантностью к глюкозе склонны к более тяжелому течению различных заболеваний.
Хорошее зрение у ребенка играет важную роль в его обучении. Согласно статистике проблемы со зрением выявляются у одного ребенка из 20 детей дошкольного возраста и у одного из четырех школьников. В связи с тем, что многие неприятности со зрением как раз и начинаются в раннем возрасте, очень важно, чтобы ребенок получал должный уход за своими глазами. Запущенные проблемы с глазами могут иметь серьезные последствия, равно как отрицательно влиять на способности к обучению, успеваемость в школе, и даже на особенности характера.
Нарушения мочеиспускания – эта целая группа симптомов, каждый из которых может свидетельствовать о серьезных проблемах мочевыделительной системы (в т.ч. о заболеваниях почек). Врач должен провести обследования для установления причин заболевания. Исследование может включать анализ мочи, УЗИ почек и мочевого пузыря, в некоторых случаях – рентгенологическое исследование почек. Затем врач назначит соотвествующее лечение (включающее в случае инфекции антибактериальные препараты), при необходимости проведет дополнительные консультации у специалистов.
Невынашивание беременности – самопроизвольное прерывание беременности в сроки от зачатия до 37 недель, считая с первого дня последней менструации.
Непереносимость – это неспособность переваривать лактозу, часто связанную с недостаточностью фермента лактазы. Примерно через 30 минут после употребления молока или молочных продуктов у людей с непереносимостью лактозы может быть понос (диарея) или схваткообразные боли (спазмы в животе) и вздутие живота (повышенное образование газов в кишечнике), степень тяжести которых зависит от уровня нехватки ферментов. Однако человек с небольшим дефицитом ферментов может не испытывать вовсе никаких симптомов.
Прикус – этот тип смыкания зубов. Здоровым считается «ортогнатический прикус», при котором верхние зубы слегка перекрывают нижние. Неправильный прикус может приводить ко многим стоматологическим проблемам, нарушениям дикции, дыхания и пищеварения. Современные технологии позволяют проводить исправление прикуса в любом возрасте. Однако следует помнить, что это длительный процесс, который включает не только грамотную роботу врача, но и каждодневную работу самого пациента.
Нефроптоз – это патологическое состояние, при котором почка имеет большую, чем в норме, подвижность, и почка при этом из поясничной области может смещаться в полость живота или таз. Опущение почки у женщин встречается чаще, чем у мужчин.
Сахарный диабет, по словам многих специалистов в области здравоохранения, принимает характер эпидемического заболевания, так как все больше и больше людей страдают от него. При этом возраст людей, подверженных заболеванию, становится все более юным. И в группе риска встречаются не только те, у кого какой-либо из членов семьи был болен диабетом, но и те, у кого заболевание просто развилось с течением времени.
Лекарства играют важную роль в нашей жизни – они помогают излечить заболевание, облегчить симптомы болезни или предупредить развитие недуга. Нет ни одного лекарства, прием которого не был бы связан с риском. Все лекарства имеют побочные эффекты, некоторое из них могут быть очень опасными и даже смертельными. Основными причинами развития нежелательных побочных реакций специалисты считают: применение лекарств ненадлежащего качества, в неправильных дозах, не по показаниям, самолечение, нарушения режимов приема препаратов, взаимодействие с другими лекарствами, пищевыми продуктами и средствами народной медицины.
Обезвоживание – это недостаточное количество жидкости в организме, которое негативно влияет на его работу. Наиболее опасно и часто возникает обезвоживание (медики еще говорят дегидратация) летом. При поездке в страны с жарким климатом необходимо постоянно помнить о возможности развития этого состояния.
Облысение по мужскому типу (врачи говорят "андрогенная алопеция") обусловлено наследственными причинами и гормональным состоянием организма. Хотя если говорить более точно, такая потеря волос преимущественно наблюдается у мужчин, но передается по наследству по материнской. У женщин наблюдается менее выраженная форма облысения этого типа и обычно развивается в более старшем возрасте.
Человек набирает лишний вес в случае, если съедает больше, чем ежедневно тратит его организм. Лишний вес, а тем более ожирение приводит к множеству проблем со здоровьем и укорачивает жизнь. об ожирении говорят, когда вес человека как минимум на 20% превышает должный (при расчете учитывается рост, возраст, пол и конституция), объём талии превышает 100 см у мужчин и 90 см у женщин, а соотношение объёма талии и бёдер больше 1 у мужчин и больше 0,45 у женщин.
Ожог – это повреждение кожи, иногда тканей, мышц и костей, связанное с воздействием на кожу огня, электричества или химических веществ. Чем дольше продолжался контакт, тем сильнее будет ожог. Ожоги могут быть также из-за воздействия горячего пара или жидкости.
Добровольная стерилизация хирургическая (ДСХ) представляет собой самый эффективный и необратимый метод предохранения как для мужчин, так и для женщин. В то же время ДСХ является безопасным и экономным способом контрацепции. Усовершенствование анестезиологического пособия, хирургической техники и улучшение квалификации медицинского персонала – все это способствовало повышению надежности ДСХ за последние 10 лет.
В аптеках записываются на маски, выстраиваются очереди за противовирусными препаратами по более низким ценам. Мамы задают друг другу, врачам и всем окружающим одни и те же вопросы: как защитить ребенка?
Орхит – это воспаление ткани яичка, а эпидидимит – это воспаление придатка яичка. Обычно при поражении одного из этих органов поражается и другой.
Целью любой вакцинации является выработка организмом поствакцинального иммунитета. При этом следует понимать, что введение вакцины – это значительное воздействие на иммунную систему организма. В некоторых случаях оно может пройти бессимптомно, в некоторых проявиться прививочными реакциями. Прививочные реакции разделяют на побочные реакции и осложнения.
Если Вам поставили диагноз сахарный диабет 2 типа, то очень высока вероятность, что сосудистые осложнения диабета у Вас уже начали прогрессировать. Дело в том, что диабет 2 типа опасен не столько повышением уровнем глюкозы, сколько теми осложнениями, которые он вызывает. Это заболевание очень быстро разрушает нормальное функционирование сосудов, что приводит к поражению сосудов сердца, глаз, ног, почек.
Остеоартроз – наиболее распространенная форма артрита. Почти половина людей старше 60 лет и фактически все старше 80 лет болеют остеоартритом. Заболевание возникает в результате механического разрушения нормальных структур сустава, изменения капсулы и повреждения хряща.
Слово «остеопороз» означает «пористые кости». При остеопорозе кости становятся более тонкими и хрупкими, чем они должны быть. Заболевание распространено у людей старше 60-70 лет и у женщин в менопаузе и является основной причиной частых переломов костей у пожилых людей. Для диагностики остеопороза применяется рентгенография и костная денситометрия.
Острый бронхит – воспалительное заболевание бронхиальных труб (бронхов), по которым воздух поступает из окружающей среды в легкие. Бронхит возникает от воздействия тех же возбудителей, которые вызывают простуду и инфекции верхних дыхательных путей.
Отбеливание – это осветление цвета зубов на несколько тонов. Отбеливание зубов является не лечебно-профилактической, а косметической процедурой. Поэтому строгих показаний к отбеливанию не существует. Как правило, методики отбеливания достаточно дорогостоящие. Кроме того, они требуют высокого профессионализма врача и терпеливости пациента. Следует понимать, что далеко не всегда есть возможность добиться идеального результата. Поэтому не стоит переоценивать возможности стоматологов.
Лето – пора отпусков, и многие из нас стремятся на морские пляжи, поближе к соленым волнам и теплому песочку. Ведь морской климат – прекрасный подарок для здоровья и иммунитета. Именно поэтому мамы и папы с радостью берут на курорты своих деток.
Панариций – это острое гнойное воспаление тканей пальцев рук или ног, редко могут затрагиваться ладони.
Пародонтоз – термин, отражающий невоспалительное системное поражение околозубной ткани (пародонта). Пародонтит – это воспалительный процесс в окружающих зуб тканях. Оба заболевания при отсутствии соответствующего лечения могут привести к потере зубов, как в старшем возрасте, так и в молодом.
Педикулез очень быстро распространяется, особенно у детей. На человеке могут паразитировать три вида вшей (головная, платяная и лобковая). Чаще всего вши появляются на волосистой части головы (головная вошь). Педикулез обычно сопровождается сильным зудом.
Перитонитом называют воспаление брюшины, оболочки, выстилающей брюшную полость и покрывающей внутренние органы, находящиеся в брюшной полости.
Печеночная недостаточность – симптомокомплекс, характеризующийся нарушением одной или многих функций печени вследствие острого или хронического повреждения ее ткани. Ежегодно в мире от фульминантной (молниеносной) печеночной недостаточности погибают 2 тыс. человек. Смертность от этого симптомокомплекса составляет 50-80%.
Атеросклероз – это одно из тех заболеваний, при котором соблюдение диеты является одним из ключевых моментов лечения. Цель антиатеросклеротической диеты – снизить количество продуктов, содержащих большое количество холестерина и жиров животного происхождения.
Правильное питание при язвенной болезни желудка является неотъемлемым компонентом терапии. Диету обычно характеризуют как механически, химически и термически щадящую. Частота приемов пищи увеличивается до 5 раз в сутки с перерывом в 3-4 часа.
Любому человеку, интенсивно занимающемуся спортом, важно уделять внимание не только подбору правильной программы тренировок, но и питанию. Рекомендуем вам соблюдать несколько простых правил, которые помогут постепенно перейти на спортивный режим питания.
Пищевая аллергия – это любая аллергическая реакция на нормальную безвредную пищу или пищевые ингредиенты. При аллергии иммунная система вырабатывает количество антител, превышающее норму, делая тем самым организм настолько реактивным, что он воспринимает безвредный белок так, как если бы это был инфекционный агент. Если иммунная система не вовлечена в процесс, то это не пищевая аллергия, а непереносимость пищи. Истинная пищевая аллергия встречается редко, и причиной ее обычно является наследственность
К будущей беременности следует подготовиться, создать наиболее благоприятные условия для зачатия и благополучного протекания этого непростого периода в жизни каждой семьи. Подготовку к беременности лучше всего начинать за три месяца до предполагаемого зачатия, и при этом требуется активное участие обоих партнеров.
Пневмония – инфекционное заболевание лёгких, обычно поражает детей младше двух лет, взрослых старше 65 и людей с ослабленной иммунной системой. Часто причиной является бактериальная флора, в особенности Streptococcus pneumoniae. Бактериальная пневмония может развиться после инфекции верхних дыхательных путей, например простуды или гриппа. Примерно в 50% случаев возбудителем пневмонии является вирус. Вирусная пневмония чаще встречается зимой и обычно не носит такой острый характер, как бактериальная пневмония.
Тревога и беспокойство представляют собой неотъемлемые компоненты нормальной жизни. Большинство людей чувствуют тревогу, когда сталкиваются с опасностью или какой-то незнакомой ситуацией. Экзамен, собеседование, спортивное состязание или важная встреча в норме вызывает чувство беспокойства и тревоги.
Повышенная чувствительность зубов характеризуется кратковременной острой болью, которая возникает при воздействии на зубы различных раздражителей. Это состояние может быть симптомом целого ряда серьезных стоматологических заболеваний. Поэтому так важно вовремя обратиться к стоматологу.
Высокий уровень холестерина в крови, или гиперхолестеринемия, является одним из самых важных факторов риска возникновения инфаркта миокарда. Печень вырабатывает холестерин в необходимом количестве и поэтому не следует дополнительно потреблять холестерин с пищей.
Подагра является одним из распространенных видов артрита (воспаления суставов) и возникает чаще у мужчин (преимущественно среднего возраста). Возникновение заболевания тесно связано с количеством мочевой кислоты, которая возникает в результате переработки в организме определенных продуктов питания, богатых пуринами. В норме мочевая кислота выводится почками с мочой. Однако у пациентов с подагрой мочевой кислоты или слишком много образуется, или она плохо выводится почками, в результате она начинает откладываться в суставах в виде крошечных кристаллов, что и приводит к воспалению и боли.
Полип шейки матки – это локальное разрастание тканей канала шейки матки. Полипы в большинстве случаев являются доброкачественными. Однако диагноз полип шейки матки является строгим показанием к хирургическому удалению и проведению гистологического исследования.
Послеродовый период включает время с момента рождения последа до завершения обратного развития изменений, произошедших в организме женщины во время беременности. Продолжительность этого периода составляет 6 недель.
Почечная недостаточность – это патологическое состояние, при котором частично или полностью утрачивается способность почек образовывать и (или) выделять мочу, и, как следствие, развиваются серьезные нарушения водно-солевого, кислотно-щелочного и осмотического гомеостаза организма, которые приводят к вторичному повреждению всех систем организма.
Беременность – это, пожалуй, самое чудесное событие в жизни каждой женщины. Вот почему правильному питанию – особенно при хроническом заболевании, таком как сахарный диабет – должно уделяться самое пристальное внимание для поддержания здоровья и хорошего самочувствия не только матери, но и плода.
Синдром предменструального напряжения связан с закономерными колебаниями уровня гормонов в крови. Раньше предменструальный синдром рассматривался как психологическое заболевание, пока исследователи не доказали, что это состояние имеет органическую природу, обусловленную изменениями уровня гормонов в организме.
Рассматривается эффективность применения различных препаратов: кальций, витамин D, кальцитриол, заместительная гормональная терапия, селективные модуляторы эстрогеновых рецепторов (СМЭР), бисфосфонаты и тиазидные диуретики, кальцитонин и фториды.
Менингит – это воспаление мягких оболочек, окружающих головной и спинной мозг, которое может быть вызвано разными микроорганизмами. Наиболее тяжело протекает менингит, вызванный бактериями Neisseria meningitidis – менингококковой инфекцией.
Бешенство – является неизлечимым инфекционным заболеванием. Своевременная вакцинация является единственным способом профилактики после укуса инфицированного животного. Следует помнить, что oт момента инфициования до появления симптомов заболевания проходит некоторое время, и на момент контакта укусившее животное может выглядеть абсолютно здоровым. Не опасаться заражения можно только в том случае, когда Вы точно уверены, что животное было своевременно привито (например, если речь идет о Вашей собаке или собаке соседей по даче).

Регулярное обследование является важной частью профилактики развития заболеваний. Существует множество специальных анализов и методов обследования, с помощью которых можно своевременно распознать такие серьезные заболевания, как рак. Основная наша задача – это обратить внимание на общие меры, направленные на сохранение вашего здоровья. Приведенные ниже рекомендации имеют общий характер и касаются в основном мужчин любого возраста.
Приобретенный порок сердца – это морфологическое изменение клапана сердца, развившееся в течение жизни больного в результате заболеваний или травматических повреждений сердца. До 90% приобретенных пороков имеют ревматический характер. Пороки клапанов приводят к повышенной нагрузке на соответствующие отделы сердца, гипертрофии миокарда и в конечном итоге к сердечной недостаточности.
Зубки начинают резаться, когда ребенку около 6 месяцев. Из-за этого десны становятся красными и чувствительными, многие дети в момент прорезывания очередного зуба становятся раздражительными и нервными. Впрочем, есть дети, которые не чувствуют никакого дискомфорта в этот период и ведут себя как обычно.
Простатит – это одно из самых распространенных урологических заболеваний у мужчин. Принято считать, что после 30 лет простатитом страдает 30% мужчин, после 40 – 40%, после 50 – 50% и т.д. При этом реальная заболеваемость намного выше зарегистрированной, это объясняется особенностями диагностики и возможностью протекания заболевания в скрытом виде. При простатите возникают многочисленные проблемы с мочеиспусканием, снижается либидо и нарушается эректильная функция.
Люди обычно говорят, что подхватили грипп, в то время как в действительности заболели обычной простудой. Врачи чаще всего ставят диагноз острые респираторные вирусные заболевания – ОРВИ. И ОРВИ, и грипп вызываются вирусами, которые передаются воздушно-капельным путем.
Отсутствие даже одного зуба вызывает существенные неудобства в жизни человека. Зубочелюстная система устроена таким образом, что ни в коем случае не подразумевает промежутков в зубном ряду. Помимо эстетического дефекта, отсутствие зуба может привести к смещению зубного ряда, нарушению прикуса и к ряду других побочных заболеваний. Поэтому если вы, по какой-то причине лишились одного или нескольких зубов, не стоит откладывать лечение на потом. Как можно раньше обратитесь к стоматологу.
Профилактика ВИЧ-инфекции должна быть направлена на снижение индивидуального риска заражения. К счастью пути инфицирования вирусом досконально изучены. Соблюдение ряда профилактических мер позволяет в большинстве случаев предотвратить инфицирование.
Согласно национальному календарю профилактических прививок вакцинация против краснухи проводится всем детям при отсутствии противопоказаний в 1 год, ревакцинация – в 6 лет. Если вакцинация или ревакцинация не была проведена вовремя, прививку ребенку можно сделать в любом возрасте. Перед проведением вакцинации следует удостовериться, что ребенок не болел краснухой.
Псориаз – это заболевание кожи, при котором появляются красные шелушащиеся пятна, покрытые серебристыми чешуйками, вызывающие зуд. Обычно псориаз проявляется в возрасте от 20 до 30 лет и часто бывает наследственным.
Псориатический артрит – это воспаление суставов при псориазе (хроническом заболевании кожи). Псориатический артрит развивается приблизительно у 10% больных псориазом. Часто он возникает через несколько или даже много лет после первого проявления симптомов псориаза, но может появиться и до развития кожных симптомов.
Пульпит – это воспалительный процесс в пульпе. Всего в зубе три слоя – сверху эмаль, далее дентин, а пульпа – внутренний, он заполняет пульповую камеру и корневые каналы.
Рак – это быстрое, хаотичное и неконтролируемое деление клеток, которое приводит к возникновению опухоли в органе или в ткани. Эти делящиеся клетки иногда распространяются в другие части тела через кровоток или лимфатическую систему. Во взрослом возрасте рак часто связан с процессом старения. Однако сегодня диагностика на ранней стадии и современные методы лечения могут справиться со многими видами рака.

Рак молочной железы занимает первое место среди всех злокачественнsх заболеваний у женщин. По статистике, заболеваемость населения России злокачественными новообразованиями молочной железы за последние 15 лет увеличилась более чем в 2 раза. Известно, что заболеваемость женщин, проживающих в крупных городах и индустриальных районах, выше, чем жительниц сельской местности.


Рак предстательной железы обычно возникает у людей, возраст которых старше 45-55 лет, у молодых людей такое новообразование встречается редко. По данным статистики заболеваемость раком предстательной железы в России доходит до 4.5%, при этом среди главных причин смерти рак предстательной железы находится на 5-м месте у мужчин в возрасте до 70 лет и на 4-м – у мужчин 70 лет и старше. Раковая опухоль растет медленно, и заболевание может никак не проявляться в течение многих лет.
Рак ободочной кишки – злокачественное заболевание, которое может локализоваться в любой части толстого отдела кишечника, состоящего из ободочной кишки (часть кишечника, через которую опорожняется тонкий отдел кишечника) и прямой кишки (конечная укороченная часть толстого отдела кишечника).
Рак шейки матки – достаточно распространенное заболевание женщин. Имеются два возрастных пика заболеваемости – 35-39 лет и 60-64 года. В России частота встречаемости составляет примерно 11 случаев на 100 000 населения.
Рак яичников занимает пятое место по частоте встречаемости среди злокачественных образований у женщин. В России заболеваемость раком яичника составляет приблизительно 77 случаев на 100 тысяч населения. Средний возраст, когда возникает рак яичников, составляет 61 год. Рак яичников на ранних стадиях протекает, как правило, бессимптомно. На более поздних стадиях может появляться учащенное мочеиспускание, запор, кровянистые выделения из влагалища, неприятные ощущения в животе.
Ранний токсикоз обычно наблюдают в I триместре. Распространенность раннего токсикоза настолько велика, что очень часто его симптомы считают классическими признаками беременности.
Ревматическая полимиалгия – это название состояния, которое приводит к выраженной утренней скованности и к болям в мышцах плеч, шеи, позвоночника, ягодиц и бедер. Чаще всего ревматическая полимиалгия возникает у людей старше 50 лет. Женщины страдают ревматической полимиалгией немного больше, чем мужчины.
Ревматоидный артрит – это хроническое системное заболевание соединительной ткани аутоиммунной природы, при котором поражаются преимущественно мелкие суставы – развиваются артриты, приводящие к стойкой деформации суставов и нарушению их функции. Чаще всего это заболевание начинается в возрасте 35-50 лет.
Резус-конфликт – гемолитическое нарушение, которое может привести к различным последствиям: от заболевания новорождённых желтухой и необходимости делать переливание крови до выкидышей, рождения недоношенных детей и мертворождениям. К счастью, новые методы лечения и новые лекарственные средства сильно снижают этот риск.
Ретинит представляет собой воспаление сетчатки глаза, возникающее в результате воздействия ряда внешних или внутренних факторов.
Роды – это физиологический процесс изгнания созревшего и сформированного плода из полости матки во внешнюю среду. Своевременные роды – это роды при сроке беременности от 38 до 42 недели. Как и все физиологические процессы, роды во многом происходят инстинктивно и управляются на гормональном и неврологическом уровне. Однако ожидать появления «маленького чуда» без прикладывания усилий не стоит.
Рожа или рожистое воспаление – серьезное инфекционное заболевание, внешними проявлениями которого является прогрессирующие поражение (воспаление) кожного покрова. Причина заболевания – проникновение стрептококка через поврежденную царапинами, ссадинами, потертостями, опрелостью и т.п. кожу. При отсутствии лечения больному угрожают осложнения со стороны почек и сердечно-сосудистой системы (ревматизм, нефрит, миокардит).
Каждой женщине следует уметь правильно обследоватьсвою грудь на предмет наличия изменений. Как минимум один раз в месяц проводить это несложно самообследование. Если вы заметили у себя какие-либо изменения в молочных железах, следует как можно скорее обратиться к врачу.
При сахарном диабете 1 типа (инсулинзависимом) поджелудочная железа не может больше продуцировать инсулин. В результате содержание глюкозы в крови повышается, что оказывает повреждающее действие на кровеносные сосуды, нервы, почки и другие органы, и проникает в мочу. Людям, страдающим сахарным диабетом 1 типа, требуются ежедневные инъекции инсулина. Диета, регулярные физические упражнения и тщательный самоконтроль содержания глюкозы в крови также важны для лечения.
У людей, страдающих сахарным диабетом 2 типа, поджелудочная железа может продуцировать недостаточное количество инсулина или организм не способен адекватно использовать его. В результате повышается содержание глюкозы в крови, что приводит к повреждению кровеносных сосудов и других органов. Данная форма диабета возникает у людей среднего возраста и старше.
Вот простые меры, которые помогут вам защититься от вируса гриппа A (H1N1), или свиного гриппа.
Вы можете защититься от инфицирования, если будете избегать тесных контактов с людьми с гриппоподобными симптомами, соблюдать правила общей гигиены. При ношении маски также важно соблюдать определенные правила. При появлении симптомов заболевания следует обращаться к врачу, а не заниматься самолечением.
Сенная лихорадка представляет собой аллергическую реакцию, сопровождающуюся приступами чиханья, насморком и заложенным носом. Ее медицинское название – аллергический ринит, заболевание, которое инициируется такими аллергенами как пыль, цветочная пыльца и сигаретный дым и проявляется в воспалении слизистой оболочки носа. Это заболевание обычно развивается в возрасте до 30 лет и поражает в основном женщин, а не мужчин. В лечении используются антигистаминные средства; глюкокортикостероиды; cтабилизаторы мембран тучных клеток; сосудосуживающие препараты; антихолинергические средства.
Сибирская язва – это острое инфекционное заболевание, относящееся к зоонозам, то есть заражение происходит через животных. Сибирская язва может протекать в виде легочной или кишечной форм, но абсолютное большинство случаев относится к кожной форме.
Гипервентиляция – это явление, которое происходит при частом поверхностном дыхании, когда вдох производится в верхней части грудной клетки, что приводит к тому, что уровень углекислого газа в крови снижается. Именно снижение содержания углекислоты приводит к тому, что гемоглобин не отдает кислород и организм страдает от гипоксии. Подобное состояние может возникать при очень сильном беспокойстве, страхе или беспричинных всплесках эмоций и многие других состояниях или заболеваниях.
Синдром Дауна, названный по имени доктора Джона Лэнгдона Дауна, – это генетическое заболевание, приводящее к отставанию в умственном развитии. Синдром Дауна связан с генетическим нарушением – наличием дополнительной хромосомы. Это приводит к нарушению физического и умственного развития ребенка. Примерно 1 из 660 новорожденных рождается с синдромом Дауна вне зависимости от этнической и социокультурной принадлежности.
Синдром дефицита внимания и гиперактивности чаще всего наблюдается у детей или подростков. Примерно 3-5% детей школьного возраста страдают от синдрома дефицита внимания. К основным признакам синдрома относятся рассеянность (неспособность сконцентрироваться), импульсивность (нарушение способности контролировать первое желание что-либо сделать), гиперактивность (повышенная активность и беспокойное состояние).
Синдром поликистозных яичников (СПКЯ), также известный как синдром Штейна-Левенталя или склерокистоз яичников, представляет собой эндокринное (гормональное) заболевание, которое поражает около 5-10% всех женщин детородного возраста и является одной из основных причин бесплодия.
Переутомление представляет собой непреодолимое чувство усталости и слабости. Все так или иначе испытывали такое состояние в обычной жизни после тяжёлой, напряжённой работы и при недосыпании. Обычно утомление проходит после хорошего, полноценного отдыха и сна. Если же симптомы остаются, это означает, что ваш организм хочет дать знать, что он болен.
Синусовая тахикардия представляет собой вид наджелудочковой тахиаритмии, характеризующаяся ускоренным синусовым ритмом с частотой сердечных сокращений более 100 в минуту у взрослого человека.
Скарлатина – это острое инфекционное заболевание, характеризующееся общей интоксикацией, лихорадкой, ангиной и точечной сыпью по всему телу. Возбудителем является бета-гемолитический стрептококк группы А. Однако основные клинические проявления скарлатины обусловлены не самим стрептококком, а токсином, который бактерии выделяют в кровь. Ранние осложнения связанны с распространением инфекции на соседние ткани. Это могут быть отиты (воспаление среднего уха), синуситы и др. Вторичные осложнения обусловлены развитием иммунных нарушений, таких как ревматизм, гломерулонефрит и др. Нужно отметить, что наиболее опасные и тяжелые поздние осложнения скарлатины, развиваются в основном в случаях неправильного лечения заболевания.
Причины дисбактериоза кишечника – нерациональное питание, нерациональная антибиотикотерапия, хронические заболевания ЖКТ, острые инфекционные заболевания ЖКТ, гнойно-инфекционные заболевания, иммуннодефицитные состояния, стрессы.
Среднее ухо – небольшое пространство между наружным и внутренним ухом – содержит три маленькие косточки (молоточек, наковальня и стремечко), которые обеспечивают способность слышать. Когда бактерии или вирусы внедряются в среднее ухо, то в результате развивается воспаление и происходит накопление жидкости, что является критерием воспаления среднего уха.
Стоматит – это название объединяет заболевания слизистой оболочки полости рта различного происхождения и проявления. Как правило, впервые стоматитом болеют в возрасте от 10 до 20 лет. Если вы однажды переболели стоматитом, вероятность повторения заболевания весьма велика, хотя частота этих повторений крайне изменчива
Стресс – неспецифическая реакция организма на действие экстремальных факторов, какую-либо трудно разрешимую или угрожающую ситуацию. При стрессе в организме вырабатывается гормон адреналин, основная функция которого – заставить организм выживать. Стресс является нормальной частью человеческой жизни и необходим в определенных количествах.
Тиреоидит – воспаление неизмененной щитовидной железы. Аутоиммунный хронический тиреоидит (тиреоидит Хашимото) – наиболее часто встречающееся воспалительное заболевание щитовидной железы. К сожалению, у большей части больных аутоиммунным тиреоидитом с течением времени функция щитовидной железы снижается и развивается гипотиреоз, который требует лечения тиреоидными гормонами.
Тиреотоксикоз – состояние, вызванное стойким повышением уровня гормонов щитовидной железы (интоксикация тиреоидными гормонами). При тиреотоксикозе в кровь поступает избыток гормонов щитовидной железы и усугубляются те эффекты, которые они вызывают в норме. В несколько раз возрастает интенсивность обмена веществ в организме. Несмотря на постоянное переедание, больные не поправляются, а, наоборот, теряют в весе. Многие пациенты с тиреотоксикозом отмечают постоянную жажду, обильное мочеиспускание и диарею.
Токсоплазмоз – это широко распространенное паразитарное заболевание человека и животных, которое вызывается простейшими микроорганизмами. Заражение человека происходит от домашних животных и грызунов. Наибольшую опасность токсоплазмоз представляет для беременных, так как в результате заражения беременной может произойти гибель плода.
Травма головы – это любое повреждение головы и черепа. Эти травмы могут быть очень разными по степени тяжести: от небольшого ушиба до серьезных повреждений головного мозга. Травма головы может быть закрытой или проникающей. Причиной закрытой травмы головы обычно бывает тупой удар о предмет или поверхность. Сотрясение мозга – это закрытая травма, затрагивающая головной мозг. Во многих случаях травмы головы могут быть мало заметны, однако часто такие больные нуждаются в специальном уходе и лечении.
Трахеит – это воспалительный процесс, развивающийся в слизистой оболочке трахеи, идущей от гортани и ниже раздваивающейся на правый и левый бронхи. Причиной воспаления могут быть инфекции или аллергические реакции, чаще всего оно сопровождает простуды и ОРВИ, начинается в носоглотке или гортани и потом уже распространяется на трахею
Тромбоз глубоких вен – заболевание, при котором в глубоких венах (обычно в области голеней, бёдер и таза) образуются тромбы. Опасен тем, что тромбы могут оторваться и двигаться по кровеносным сосудам, а когда он попадает в лёгкие, то вызывает тромбоэмболию легочной артерии. Если тромб достаточно крупный, тромбоэмболия легочной артерии может быть фатальна.
ТЭЛА – одно из наиболее распространенных и грозных осложнений многих заболеваний, послеоперационного и послеродового периодов, неблагоприятно влияющее на их течение и исход. Внезапная смерть в 1/3 случаев объясняется тромбоэмболией легочной артерии.
Головокружение – общий термин, в целом обозначающий слабость, неясность сознания, потерю равновесия или ощущения вращения. Приступы головокружения обычно не представляют большой угрозы для здоровья, однако иногда в основе их могут лежать серьезные нарушения (инсульт, опухоль головного мозга, анемия).
1 сентября – День знаний, начало учебного года. Но всегда ли это праздник? Увы, очень многие дети и родители ответят: "НЕТ".
Угри (акне) появляются, когда волосяные фолликулы на коже закупориваются из-за выделений сальных желез и ороговевших клеток кожи, и чаще поражают кожу лица, спины, груди и предплечий. Склонность к возникновению угрей может передаваться по наследству.
Наиболее распространённой формой укачивания является морская болезнь, хотя многие люди сталкиваются с похожими проблемами при езде на машине или автобусе. Тяжесть симптомов зависит от длительности движений, резкости ускорений и торможений.
Под уреаплазмозом подразумевают наличие воспалительного процесса в мочеполовой системе, при котором, в ходе лабораторных исследований, выявляется уреаплазма и не обнаружен другой возбудитель. Чаще всего заражение уреаплазмозом происходит половым путем при контакте с больным, либо носителем возбудителя заболевания. Во время родов также существует вероятность заражения ребенка, при прохождении им родовых путей: микробы могут попадать в половые пути ребёнка и сохраняться там всю жизнь, находясь в неактивном состоянии. Уреаплазмоз проявляется не сразу, не беспокоя человека долгое время. Отсутствие симптомов заболевания в некоторых случаях может привести к переходу уреаплазмоза в хроническую стадию и довольно серьезным последствиям для здоровья человека.
Уретрит является, пожалуй, наиболее распространенным воспалительным заболеванием мочевыделительной системы в мужчин. И это неудивительно. Ведь именно у представителей сильной половины человечества уретра контактирует не только с мочой, но и с жидкостью, образующейся в предстательной железе. Именно поэтому инфекция может попадать в мочеиспускательный канал разными путями (из простаты, мочевого пузыря, почек и извне) .
Зрелой обычно называют кожу у женщин в возрасте 35-45 лет. С этого возраста в коже начинает снижаться выработка коллагена - особого белка, отвечающего за ее упругость. Кожа становится более сухой и вялой, на ней появляются мелкие и глубокие морщинки. Особенно быстро участки вокруг глаз и рта, где кожа тонкая и нежная, а также шея. Даже нормальная кожа, никогда не доставлявшая проблем своей счастливой обладательнице, после 35 лет начинает требовать особого ухода.
Если первые признаки возрастных изменений кожи появляются около 35 лет, то после 45 признаки старения становятся более выраженными, появляются глубокие морщины, несколько «расплывается» контур лица, кожа становится очень сухой и вялой. Такую кожу, у женщин в возрасте старше 45 лет, называют стареющей. Чтобы женщина чувствовала себя молодой и привлекательной в этом возрасте, ее коже требуется тщательный ежедневный уход.
Флегмона – острое разлитое гнойное воспаление жировой клетчатки с тенденцией к быстрому распространению по клетчаточным пространствам и вовлечением в гнойный процесс мышц, сухожилий. При отсутствии лечения распространение процесса на окружающие ткани ведет к развитию гнойного артрита, тендовагинита и других гнойных заболеваний. Флегмона лица может осложниться гнойным менингитом.
Флюороз – это заболевание, развивающееся при длительном поступлении в организм повышенного количества соединений фтора. Различают два типа флюороза: эндемический и профессиональный. Эндемический флюороз встречается в определенных местностях и связан с употреблением с раннего детства воды с повышенным содержанием фтора. Профессиональный флюороз может возникать у людей, работающих на предприятиях, в воздухе которых содержание фтора, превышает санитарные нормы.
Фотодерматозы – группа заболеваний, обусловленных повышенной чувствительностью кожи к солнечному излучению. Повышенная чувствительность кожи к солнечным лучам может возникать при заболеваниях внутренних органов (печени, надпочечников), при нарушении порфиринового обмена, витаминного баланса (гиповитаминоз РР), функции эндокринной системы (беременность, базедова болезнь).
Хронический гепатит – это заболевание, для которого характерны воспаление и некроз печеночной паренхимы, сохраняющиеся на протяжении шести и более месяцев. В легких случаях болезнь не прогрессирует или прогрессирует медленно. В тяжелых случаях хронический гепатит ведет к постепенному фиброзу и циррозу печени.
Хронические заболевания мочевыводящих путей (пиелонефрит, цистит), чаще всего являются следствием острых инфекций. Однако тактика лечения значительно отличается. При длительном течении хронические заболевания имеют тяжелые осложнения, поэтому так важно, вовремя начать лечение у хорошего специалиста
Хронический лейкоз – форма рака крови, которая развивается медленно, иногда в течение 15-20 лет, и наблюдается чаще у пациентов пожилого возраста. Заболевание характеризуется накоплением лейкоцитов в крови и в костном мозге.
Целлюлит – это знакомое многим женщинам состояние кожи бедер, ягодиц, иногда рук, живота и плеч, когда кожа становится неровной, на ней появляются бугорки и впадины, благодаря чему целлюлит называют «эффектом апельсиновой корки». С точки зрения медицины целлюлит – это структурные изменения в подкожно-жировом слое, ведущие к нарушению микроциркуляции и лимфатического оттока.
Цистит представляет собой воспаление мочевого пузыря. Для точной диагностики врачу понадобится анализ вашей мочи. Этот анализ делается для подтверждения диагноза и для определения разновидности бактерии-возбудителя (чтобы выписать наиболее подходящий антибиотик).
С возрастом у всех людей кости становятся менее крепкими. Остеопороз – это заболевание, при котором кости становятся слишком тонкими и хрупкими, из-за чего возникает высокая степень риска переломов. Он поражает более 50% женщин и около 30% мужчин старше 60 лет, реже встречается у молодых людей.
Шизофрения – это одно из наиболее частых психических заболеваний, характеризующееся постепенно нарастающими изменениями восприятия, мышления, социальной активности, речи, чувств и мотиваций. Чаще всего болезнь начинается в возрасте от 15 до 25 лет и имеет прогрессирующее течение.
Шок – это тяжелое состояние, когда сердечно-сосудистая система не справляется с кровоснабжением организма, обычно это связано с низким кровяным давлением и повреждением клеток или тканей.
.jpg)
Электрический шок может вызвать серьезные повреждения, включая глубокие ожоги и травмы внутренних органов. Кроме того, электрический шок может спровоцировать остановку сердца.
Эмфизема легких относится к группе хронических обструктивных болезней легких (ХОБЛ). Значительная распространенность этого заболевания, прогрессирующее течение, временная нетрудоспособность и ранняя инвалидизация больных из-за развития дыхательной недостаточности и легочного сердца наносят значительный экономический ущерб.

Эхинококкоз – заболевание человека и животных, вызываемое паразитированием личинок ленточного червя эхинококка. Заболевание может годами протекать бессимптомно. Клинические проявления возникают при увеличении кисты паразита в размерах и сдавлении окружающих органов. Лечение, в основном, хирургическое.
